トピックス
TOPICS
コラム

2026年3月

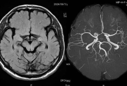
頭部MRI

2026.03.17

MRIでわかる体のサイン ― 人間ドックでの活用

健康診断では血液検査やレントゲン検査が一般的ですが、近年はMRI(磁気共鳴画像)を用いた人間ドックも注目されています。MRIは強い磁場と電波を利用して...

PAGE TOP