健康診断では血液検査やレントゲン検査が一般的ですが、近年はMRI(磁気共鳴画像)を用いた人間ドックも注目されています。MRIは強い磁場と電波を利用して体の内部を画像化する検査で、放射線を使用しないため体への負担が比較的少ないことが特徴です。
頭痛が続く人は要注意|MRI検査でわかる脳の異常

目次
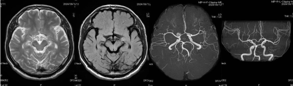
MRIは、脳や血管、内臓、筋肉などの状態を詳細に確認することができます。特に以下のような疾患の早期発見に役立つとされています。
・脳梗塞の前兆となる小さな脳血管の変化
・脳腫瘍
・脳動脈瘤
・脊椎や関節の異常
また、人間ドックでは脳ドックとしてMRIを利用するケースが多く、自覚症状が出る前の異常を見つけることが可能です。
MRIを用いた人間ドックは、特に次のような方におすすめです。
・家族に脳卒中の既往がある方
・高血圧・糖尿病など生活習慣病のある方
・頭痛やめまいが気になる方
・40歳以上で一度も脳ドックを受けたことがない方
病気の多くは、早期に発見できれば治療の選択肢が広がります。MRIによる人間ドックは、症状が現れる前の体の変化を知るための有効な方法のひとつです。定期的な検査を通じて、自分の健康状態を確認することが大切です。
近年、人間ドックではDWIBS(ドゥイブス)と呼ばれるMRI検査が注目されています。DWIBSは「Diffusion Weighted Whole Body Imaging with Background Suppression」の略で、全身のがんを調べることができるMRI検査の一つです。体への負担が少なく、短時間で全身をチェックできることから、人間ドックの新しい検査方法として広がっています。
DWIBS検査の特徴

DWIBSは、MRIの拡散強調画像という技術を利用して、がん細胞の特徴を画像として捉える検査です。がん細胞は正常な細胞に比べて水分子の動きが制限される性質があるため、その違いを利用して異常の可能性を見つけます。
DWIBS検査がおすすめの方
DWIBS検査は、特に次のような方におすすめです。
・がん検査を全身で受けたい方
・放射線被ばくが気になる方
・家族にがんの既往がある方
・定期的に体の状態をチェックしたい方
がんは早期に発見することで治療の選択肢が広がります。DWIBSは、症状が現れる前の異常を見つけるための検査として、人間ドックの新しい選択肢となっています。自分の健康状態を知るために、定期的な検査を検討してみてはいかがでしょうか。